
Maintaining healthy gums is of utmost importance for optimal oral health and a confident, cheerful smile. Unfortunately, many individuals intentionally or unintentionally neglect their gum health, and this makes them vulnerable to the hidden danger of gum disease.
If left untreated, this infection can severely damage your gums as well as the underlying bone, ultimately causing tooth loss and negative impacts on your general health. With gum disease affecting three out of ten adults in Australia, it becomes crucial than ever to take the necessary steps for its prevention and seek assistance from a dental expert promptly.
At North Balwyn Family Dental, we prioritise gum health and use cutting-edge diagnostics and technology to identify the condition, and to deliver effective gum disease treatment in Balwyn North at an early stage. The dental team creates a personalised treatment plan to revitalise your gum health and prevent additional harm. This may include extensive cleaning or gum surgery.
Don't let gum disease progress and affect your dental and overall health. Schedule an appointment with us right away and let us help you maintain healthy gums and a confident smile that you can be proud of!
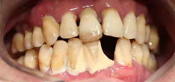
As previously highlighted, gum disease is not something that you should ignore. This common dental condition typically occurs when harmful bacteria infect the gums and surrounding areas, leading to pain, swelling and inflammation. It should be noted that this infection can also occur between teeth, with delayed treatment potentially resulting in severe dental complications.
Gum disease encompasses three stages.
You might likely need gum disease treatment if you are experiencing symptoms such as:
If you notice signs of gum disease, seek prompt treatment to prevent it from worsening. The dental team at North Balwyn Family Dental can effectively diagnose and treat gum disease. Book an appointment with us today to prevent irreversible damage to your teeth and gums and take the first step towards a confident smile with healthy gums.
Gum disease can affect anyone, regardless of the age. But it is worth noting that certain factors can increase the likelihood of the development of this condition. One prominent risk factor is the habit of using tobacco either through smoking or chewing. Furthermore, specific medications, hormonal changes, genetic susceptibility, inadequate nutrition, and underlying conditions like AIDS, Diabetes, and certain cancers may also contribute to the development of gum disease.
At North Balwyn Family Dental, we understand that gum disease can affect each patient differently. That is why we offer personalised treatments tailored to your specific condition. Our approach to treating gum disease includes:
Thorough Dental ExaminationWe start off our gum disease treatment process with a thorough dental examination to identify any underlying issues. This includes assessing the condition of your teeth, gums, and jawbones to establish the most appropriate course of action.
Deep Cleaning (Scaling and Root Planing)If gum disease has progressed beyond gingivitis, deep cleaning (scaling and root planing) is usually the next step. The procedure involves removing tartar and plaque buildup below the gums and eradicating harmful bacteria that contribute to inflammation. Depending on the severity of your condition, scaling and root planing may be performed over multiple visits.
Antibacterial TreatmentMoving forward, we offer personalised antibacterial treatments such as antimicrobial mouth rinses or gels along with other procedures to reduce swelling and inflammation in the gums caused by the bacterial presence.
Gum SurgeryIn some cases, if pockets (the gaps or spaces formed between the gums and teeth due to gum disease) fail to heal adequately following scaling and root planing, gum surgery might be required. This procedure allows the dental professionals to effectively remove plaque and tartar from hard-to-reach areas and tighten the gums around your teeth. By reducing pocket depth, gum surgery can make it easier for you to maintain good oral hygiene.
Follow these valuable tips and tricks to safeguard your gum health and ward off gum disease:
Several reasons make us the right choice for gum disease treatment:
Don't endure the discomfort of unhealthy gums. Call North Balwyn Family Dental today to schedule an examination and begin your treatment. Our entire team is dedicated to helping you achieve and maintain excellent oral health, ensuring a lifetime of bright smiles!
Areas we serve: Surrey Hills, Box Hills, Mont Albert, Balwyn, Doncaster, Bulleen
We are a preferred provider for Medibank, HCF and BUPA. We also offer competitive dental charges for all private patients!
Whiten & Claim Your Free Gift!
Complete a Philips Zoom In-Chair Whitening treatment at our clinic and receive a FREE Philips Sonicare 2000 Electric Toothbrush.
Everyone’s eligible!
Offer valid 1 Nov 2025 – 31 Jan 2026.