Book Online CALL NOW
image description

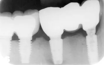
PROSTHODONTICS

Fixed prosthodontics are either crowns or bridges which are cemented onto the tooth or teeth permanently. A crown is applied to protect either a heavily restored tooth or a root canal treated tooth. The tooth has to be prepared and reduced in size. An impression is then taken, and a temporary crown used until the permanent crown has been made. We have a Cerec Machine in which crowns can be made within just 48 hours.

A Bridge utilises the neighbouring teeth to support a missing tooth. This procedure may be used when dental implants are not suitable, and when the neighbouring teeth are heavily restored and are strong enough to support the missing one.

Removable dentures can be provided as either partial or full dentures. We offer various materials such as acrylic, chrome cobalt, and flexible valplast dentures. Patients need to take time to adapt to the new dentures, with a certain level of tolerance necessary. Adjustments of the dentures are also required in most cases.

Health Fund Preferred Providers

We are a preferred provider for Medibank, HCF and BUPA. We also offer competitive dental charges for all private patients!

provider1
provider2
provider4
60a170646b6894a49a6d95c4_5f1493de710ab9ac14592457_bupa health insurance
hcf
medibank
ahm-logo
frank-health-insurance
apia-logo

Request an Appointment